093-961-6480

ブログ

ブログ

  • 歯科矯正治療(歯並び治療)の開始時期  パート2 (床矯正)

    歯科矯正治療(歯並び治療)の開始時期  パート2 (床矯正)

    歯科の矯正治療は一体いつから開始したらよいのでしょう? 意見の分かれるところですが、『もう少し、このまま様子を見ましょう』は要注意です。 前回から、このテーマで話していますが、前回の話は矯正治療の経験の少ない歯科医師が矯正歯科を標榜する話で […] 本文を読む

    院長ブログ

  • 歯科矯正治療(歯並び治療)の 開始時期 パート1

    歯科矯正治療(歯並び治療)の 開始時期 パート1

    歯科の矯正とは、いつから開始したらよいのでしょう? 意見の分かれるところでは有りますが、この質問に対して最も多い歯科医師の答えは、何と 『もう少し、このまま様子を見ましょう』なのです。でも、この答えは本当に要注意です。 次のような事が当医院 […] 本文を読む

    院長ブログ

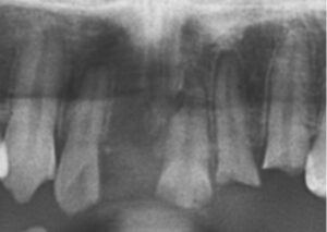
  • レントゲンはなぜ撮るの?

    レントゲンはなぜ撮るの?

    みなさん歯医者に行くと、レントゲンを撮られることがあると思います。 多くの歯科医院でレントゲン撮影は基本的な検査として行われていますが、どうして見れば分かりそうなのにレントゲンをとらないと行けないのかと疑問に思ったことがある方もいると思いま […] 本文を読む

    院長ブログ

  • 高校生の進路

    高校生の進路

    もし、高校生の女子の方で、進路に迷われている方とか、看護士の資格を取ろうと思われている方がいらっしゃったら、ぜひとも歯科衛生士になることをお勧めします。今年も就職活動がほぼ終わりましたが、残念ながら、当医院では採用できませんでした。なぜなら […] 本文を読む

    院長ブログ

  • 虫歯を予防する食べ物

    虫歯を予防する食べ物

    前回、砂糖が虫歯菌の栄養といいました。砂糖を全く取らない生活なんてまずできません。 しかし、砂糖を取っても虫歯にならないようにする方法はあります。 虫歯になるのは、口の中に砂糖の甘味が停滞している時間だけです。 砂糖とは、いわゆる白砂糖(主 […] 本文を読む

    院長ブログ

  • 「歯の運命」を決める知られざる常識

    「歯の運命」を決める知られざる常識

    クリスマスケーキを食べた後すぐに歯磨きしましたか? 歯を磨くと虫歯にならないという常識が普及しすぎている感じがいつもするのですが、磨いても虫歯になってしまう部分があることをご存知ですか? 「虫歯になぜなるのか」を、研究する分野をカリオロジー […] 本文を読む

    院長ブログ

  • 学会で発表しました

    学会で発表しました

    先日は、京都でバイコンインプラントの関西支部会が開催されまして、参加しました。 といっても、私が演者というか、私も自分の臨床を発表させて頂きました。 上の顎にインプラントを入れる場合、鼻の空洞(上顎洞とか副鼻腔とも言います)が接近していて、 […] 本文を読む

    院長ブログ

  • 歯の外傷時の応急処置

    歯の外傷時の応急処置

    人が歯を失う原因でもっとも多いものは何でしょうか?第一位は歯周病と言われています。最近は歯磨き粉などのテレビCM等でそのデータを目にする機会があった方もいらっしゃることと思います。ドラッグストアのデンタルケア商品コーナーを覗いてみれば、歯周 […] 本文を読む

    院長ブログ

  • いきなりの??クイズ??です

    いきなりの??クイズ??です

    いきなりクイズです。何の事についての記述か当ててみてください! 「気づかないうちに日常的に受け取っているもので、食べ物にも含まれる。病院で治療に使うこともあるし、温泉の効能を発揮する成分の一つでもある。しかし、多量に摂取すると様々な健康被害 […] 本文を読む

    院長ブログ

  • 40歳以上の9割は歯周病

    40歳以上の9割は歯周病

    ☆歯周病とは 細菌の感染によって歯の周りの組織に炎症が起きる疾患です。年齢と共に進行し、40歳以上の成人の9割は、程度の差はありますが歯周病になっていると言われています。 進行すると歯を支えている骨(歯槽骨)が溶けて支えることができなくなり […] 本文を読む

    院長ブログ

TOPへ戻る