- 
    
     - 
    
ブログ
 
- 
- 
    
              
          
   - 
    
    
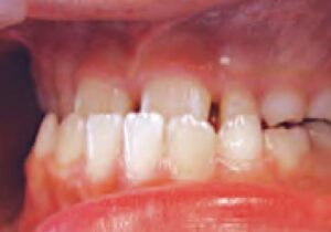
矯正治療の開始時期 パート4 (出っ歯)
不正咬合には色々な種類があり、症例によって開始時期は異なります。 前歯が出ている人は一般には出っ歯といいますが、正確にまたは歯科専門用語では上顎前突といいます。 上顎前突は不正咬合の中では、最も遅い時期から治療を開始します。なぜなら、乳歯の […] 本文を読む
 
 - 
    
              
 - 
- 
    
              
          
   - 
    
    
歯科正治療の開始時期 パート3 (反対咬合)
不正咬合には色々な種類があります。実は症例によって開始時期は異なります。前回は前歯の重なり(叢生)が最も多い事をお話しました。この場合は、小学校の1~2年生で開始します。 今日は、最も早くから治療を開始する症例についてお話します。 それは、 […] 本文を読む
 
 - 
    
              
 - 
- 
    
              
          
   - 
    
    
歯科矯正治療(歯並び治療)の開始時期 パート2 (床矯正)
歯科の矯正治療は一体いつから開始したらよいのでしょう? 意見の分かれるところですが、『もう少し、このまま様子を見ましょう』は要注意です。 前回から、このテーマで話していますが、前回の話は矯正治療の経験の少ない歯科医師が矯正歯科を標榜する話で […] 本文を読む
 
 - 
    
              
 - 
- 
    
              
          
   - 
    
    
歯科矯正治療(歯並び治療)の 開始時期 パート1
歯科の矯正とは、いつから開始したらよいのでしょう? 意見の分かれるところでは有りますが、この質問に対して最も多い歯科医師の答えは、何と 『もう少し、このまま様子を見ましょう』なのです。でも、この答えは本当に要注意です。 次のような事が当医院 […] 本文を読む
 
 - 
    
              
 - 
- 
    
              
          
   - 
    
    
レントゲンはなぜ撮るの?
みなさん歯医者に行くと、レントゲンを撮られることがあると思います。 多くの歯科医院でレントゲン撮影は基本的な検査として行われていますが、どうして見れば分かりそうなのにレントゲンをとらないと行けないのかと疑問に思ったことがある方もいると思いま […] 本文を読む
 
 -