093-961-6480

ブログ

ブログ

  • 舌側矯正2

    舌側矯正2

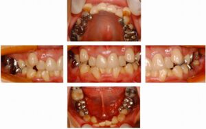
    昨日ブログの患者様の治療前の状態を見てみたいというご希望もありました。 下の写真をご覧頂くと、かなり前歯が重なってる叢生(そうせい)という状態でした。 一般的には、八重歯とか言います。このようにかなり叢生が強い時には、やむなく 抜歯をして隙 […] 本文を読む

    院長ブログ

  • 舌側矯正

    舌側矯正

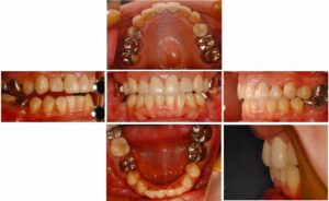
    今日、ワイヤーでの矯正患者様が、三年の治療を経て、はれて終了しました。お疲れ様でした。 この方は、舌側矯正と言って、裏側に矯正装置を付ける方法を選択されたので、他人からは矯正の装置が見えず、治療していると気付かれません。 テクニックも複雑で […] 本文を読む

    院長ブログ

  • 今年のインプラントオペ二回目

    今年のインプラントオペ二回目

    今年の二回目のインプラント埋入手術をしました。 上の奥歯が四本無くて、そこに三本のインプラントを埋めました。下のレントゲン写真はCTの写真です。左下が水平の断面で上の二つが前からと横からの垂直断面です。 一番前(写真では右上側の写真の一番左 […] 本文を読む

    院長ブログ

  • 今年最初のインプラント

    今年最初のインプラント

    お蔭さまで、無事に今年も診療がはじまり、 最初のインプラント埋入手術をしました。 骨の幅も高さも十分あり骨量・骨質共に問題の無い症例でした。手術も2時間程度で終わりました。 下のレントゲン写真はCTの写真です。左下が水平の断面で上の二つが前 […] 本文を読む

    院長ブログ

TOPへ戻る