学会で発表しました
先日は、京都でバイコンインプラントの関西支部会が開催されまして、参加しました。
といっても、私が演者というか、私も自分の臨床を発表させて頂きました。
上の顎にインプラントを入れる場合、鼻の空洞(上顎洞とか副鼻腔とも言います)が接近していて、困る事がよくあります。そんな場合は、インプラントを数多くやっている先生でないとできないと言われる事もしばしばあると思います。
実際どの程度の骨の厚みが有るかによっての程度にあわせて色々な術式で骨を造成するのですが、オリジナルな方法を考えてみたので発表させて頂きました。
厚みが9mm以上あれば、通常の方法でインプラントが可能です。こんな感じです。

こういう感じが理想ですね。しかし、いつも理想的ではありません。
8~3mmの場合は、通常はソケットリフトという方法で、インプラントを埋め込む穴から
骨の素となる骨補填剤を入れて鼻の空洞に骨を作ります。

これでもまだいいほうです。
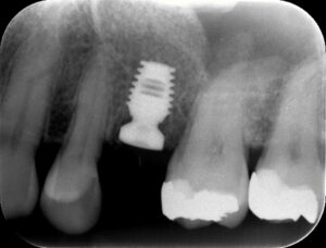
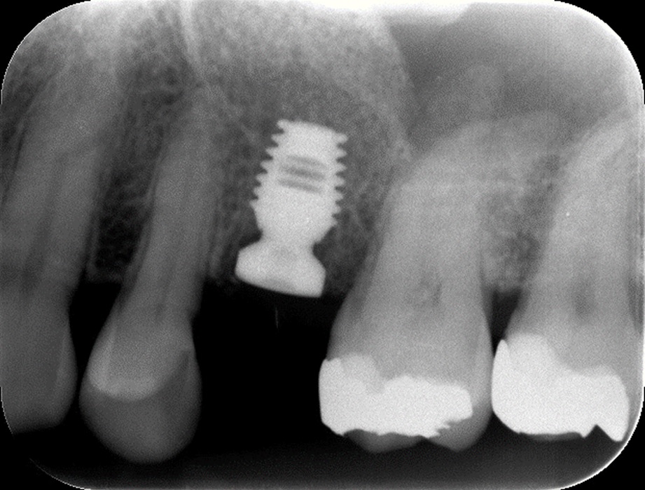
3mm以下になると、骨を作る量が多くなりますので、頬側から窓をあけて横から直接、骨補填剤を入れて骨を作ります。その際、多くのインプラントメーカーが採用するスクリュータイプのインプラントでは、インプラントが完全に固定できず、同時にインプラントを入れてしまうのは難しくなります。長いインプラントを薄い骨で固定すると不安定です。しかし、バイコンというショートインプラントを使用すると頬側に開けた窓から直接、インプラント本体を入れることができることに気づきました。
その方が患者様にとっては、手術回数が2回から1回に減る事になるので、肉体的負担も金銭的負担も減り、きわめて有効であると思います。他のメーカーのインプラントでは、長すぎて入れることができません。
バイコンインプラントが短いからこそできる方法です。

また、実際に今年の春から3症例ほどこの方法でトライしました。無理にしてしたわけではなく、できそうな場合のみ新しい方法でしてみるという同意を得てから手術しました。一応1次手術は全て成功しています。手術後は、10ヶ月くらいそのまま放置して、補填剤が固まるのを待ちますので、今は待っている状態です。
まだ完結していませんが、聞かれていた先生も興味深かったとのコメントを頂きました。
バイコンを集大成した本が最近出版されましたが、それとはまた違った方法なのでおもしろかったともいわれました。
バイコンインプラント 九州・沖縄支部長 池田 一彦