-
-
ブログ
-
-
-
無料メール相談6(歯のホワイトニングしたいのですが、詰め物も白くなりますか?)
今まで、多くの方々に無料でメール相談をしてきました。その中から良くある相談を紹介しています。 「歯のホワイトニングをして白くしたいのですが、費用とか回数を教えてください。また、詰め物や差し歯も白くなりますか?」 これも、とてもよくある質問で […] 本文を読む
-
-
-
-
無料メール相談5(見えない矯正方法ってどんなのがありますか?)
今まで、多くの方々に無料でメール相談をしてきました。その中から良くある相談を紹介しています。 「接客業をしているので、矯正の装置が見えないようにして矯正したいので、期間と費用を教えてください。」 とても、よくある質問ですが、一概に治療期間は […] 本文を読む
-
-
-
-
無料メール相談4(抜歯しない矯正方法って無いのですか?)
今まで、多くの方々に無料でメール相談をしてきました。その中から良くある相談を紹介しています。 「矯正相談に行ったら、抜歯しないと矯正はできないと言われました。抜かない方法は無いですか?」 矯正治療開始時の年齢が小学生なら、成長期に顎を拡げれ […] 本文を読む
-
-
-
-
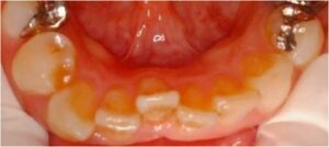
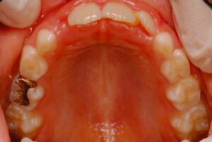
歯に詰めるプラスチックが危ない パート2
1月15日に、奥歯に詰めたプラスチックの周りから虫歯になっている人が非常に多いという話をしました。 今日もそんな患者様がいらっしゃいました。下の写真です。 麻酔をして、プラスチックを外すと、前回のように虫歯が拡がってボロボロというほどではな […] 本文を読む
-
-
-
-
無料メール相談3(親知らずは抜歯した方が良いですか?)
今まで、多くの方々に無料でメール相談をしてきました。その中から良くある相談を紹介しています。 「歯医者で、親知らずの抜歯を勧められました。抜かないといけないですか?」とか 「親知らずを抜くとすごく腫れて痛いと聞いたのですが、本当ですか?」と […] 本文を読む
-
-
-
-
無料メール相談2 (矯正は何歳から始めたら良いですか?)
今まで、多くの方々に無料でメール相談をしてきました。その中から良くある相談を紹介しています。 「矯正は何歳から始めたら良いですか?」 矯正が必要な歯並びを不正咬合(ふせいこうごう)と言いますが、その種類によって時期・開始年齢は異なります。最 […] 本文を読む
-
-
-
-
無料メール相談 (1本だけの矯正は可能ですか?)
今まで、数百人の方々に無料でメール相談をしてきました。その中から良くある相談をいくつか紹介します。 「1本だけの矯正は可能ですか?」 歯を根ごと動かす本来の意味での矯正で、1本だけとか○本だけとかを動かす事はほとんど不可能です。なぜなら、歯 […] 本文を読む
-
-
-
-
歯に詰めるプラスチックが危ない
今、歯に詰めたプラスチックの周りから虫歯になっている人が非常に多いです。特に奥歯に詰めた咬み合わせの面のプラスチックが非常に危険です。 どうして、こんな事が起こるのかと言うと、最大の原因は、プラスチックが硬化する時の収縮です。 虫歯の治療は […] 本文を読む
-
-
-
-
虫歯予防にリンゴがお勧め
こんにちは、歯科医師の角野沙織です。今週のミーティングの当番で話した予防のお話を紹介します。 リンゴは虫歯予防に効果があるってしっていますか。リンゴを丸かじりすることによって、歯の表面の汚れを減少させることができます。また、リンゴに含まれ […] 本文を読む
-
-
-
-
バイコンインプラント研修を終えて
ボストンはどうでしたかと良く聞かれます。大変勉強になったし、楽しかったです。 まず、寒かったです。九州で言うと11月で1月位の気候でした。真冬は街の中心に流れる川がスケートリンクになるそうで、大体北海道くらいなのだと思います。もし今度訪れる […] 本文を読む
-