無料メール相談 (1本だけの矯正は可能ですか?)
今まで、数百人の方々に無料でメール相談をしてきました。その中から良くある相談をいくつか紹介します。
「1本だけの矯正は可能ですか?」
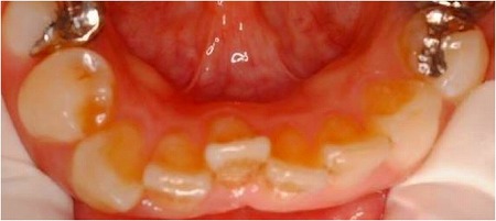
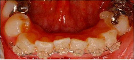
歯を根ごと動かす本来の意味での矯正で、1本だけとか○本だけとかを動かす事はほとんど不可能です。なぜなら、歯は隣の歯と接しているので隣が動かないのに、動かせません。また上下の歯は咬み合っていますから、上の歯だけとか下の歯だけとかを動かせません。だから上の歯だけの矯正とか、下の歯だけの矯正なども、上下がきちんとかみ合っていない場合しかできないのです。写真は下の前歯だけの部分矯正した方です。
初診時

4ヶ月後

8ヶ月後の終了時

これが可能なのは、いくつかの条件がそろった状態で、一本単位ではなく何本かまとめて動かしたからです。
だから、 質問に対するお答えは結論からいくと、ほぼ99%は不可能です。1%の可能があるのは、動かす歯の周囲に隣の歯が無い事・動かす歯が咬み合っていない事という条件が2っ揃えれば○本だけの矯正は可能です。でも、そんな状態の人は、ほんとうにごくごくまれです。
こんな時には、補綴矯正(ほてつきょうせい)という方法があります。ねじれた歯・へんな方向を向いた歯。二本だけが重なった歯などが有れば、その歯の神経を取ってセラミックの歯で形を修正して被せる方法です。これなら1本だけの矯正も可能です。ほんとうに早くて・安くて・キレイになります。
歯の神経を取れば歯は死んでしまいますから、30年くらい経過すると、歯の質がもろくなって割れてしまうという現象が起こる可能性があるというのが、唯一の欠点です。30年先の事をどう考えるのかがポイントですが、虫歯になれば神経をとると言う事は普通にしていますから見た目(審美性)を優先するのであれば、今すぐ歯が無くなるわけではないのでこの補綴矯正(ほてつきょうせい)という方法はなかなか良い方法です。当医院では、月に1人程度の割合でおこなっています。
気になるお値段ですが、セラミックの歯1本が50,000円~110,000円まで5種類を取り扱っています。主に強度の違いで値段の差がありますが、見た目はどれも綺麗な陶器の歯ですから50.000円のものでも十分です。なので、1本が50,000円(消費税込54,000円)+神経を取る処置(約3,000円)くらいが必要となります。1本で済む事は、少なくて大体数本を被せる事が多いので、1本なら6万弱、2本なら11万位、3本なら17万弱、4本なら22万円くらい必要になります。2本が最も多くて、4本を超える事はまれにしかありません。鏡を見れば、ご自分でどの歯とどの歯をどんな形にしたらよくなるかわかりますので、ちょっと考えてみてください。
最後に治療期間は約2ヶ月程度かかります。