無料メール相談2 (矯正は何歳から始めたら良いですか?)
今まで、多くの方々に無料でメール相談をしてきました。その中から良くある相談を紹介しています。
「矯正は何歳から始めたら良いですか?」
矯正が必要な歯並びを不正咬合(ふせいこうごう)と言いますが、その種類によって時期・開始年齢は異なります。最も早く開始する不正咬合は、下顎の出ている受け口の場合で、5~6歳からが最適です。同じ受け口でも、骨格自体が出ているような遺伝性のものは、もっとはやく3歳や4歳から開始するという先生もおられます。骨格性でなくただ下の歯が出ているだけならもう少し遅くても大丈夫ですが、遅れるほど段々と治りにくくなってきます。
受け口以外の不正咬合の矯正は、小学生の1~2学年から開始するのが良いでしょう。
顎が小さくてその中に歯が並びきれないので重なって生えてくる叢生(そうせい)の場合がほとんどです。入れ歯のような装置をはめて、顎を拡げて歯を並べます。
乳歯の生え変わりは、3期に分かれています。
小学校1~2年 前歯(上下4本ずつ計8本)の交換の時期
小学校3~4年 交換の休憩の時期
小学校5~6年 奥歯(上下6本ずつ計12本)の交換の時期
理想は、前歯上下4本ずつ計8本は小学校の4年までに矯正を終わらせて奥歯の生え変わりに備える。
そのためには、小学生の1~2学年から開始するのが良いでしょう。写真で見てみましょう。
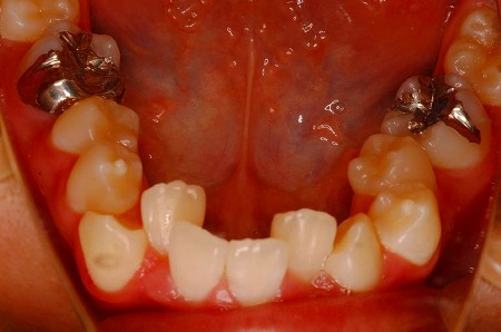
次の写真は小学校3年生くらいです。

この写真くらいの時期が問題で、前歯の4本が永久歯です。これが2年生くらいで生えたばかりなら大丈夫です。しかし、4年生くらいで生えてから2年も放置していると奥歯が生え代わる時期になってしまい、入れ歯のような装置で顎を拡げることができません。拡げようとして装置を入れても、次々に歯が生え代わっていくので顎を拡げる事ができません。
次の写真は中学校1年くらいです。

そして奥歯が生え変わったこの時期から矯正を開始すると、歯の表面に突起を付けてワイヤーを通して治すことしかできなくなります。こうなると、抜歯しないと治らないケースも出てきますし、時間と費用も2倍くらいかかるようになります。最終的には、この方はワイヤー矯正をして綺麗に並べましたが、抜歯をしなかったので口の中に歯が納まりきれなくて、上下の唇が閉じにくい状態で終了しました。
かといって、『人生は長く、次第に歯の数は減っていくもの』ですから、なるべくなら抜歯をしないで顎を拡げて歯並びを治す方が良いと思います。
そのためには、できれば小学校2年生までに矯正を開始する事をお勧めいたします。

