無料メール相談3(親知らずは抜歯した方が良いですか?)
今まで、多くの方々に無料でメール相談をしてきました。その中から良くある相談を紹介しています。
「歯医者で、親知らずの抜歯を勧められました。抜かないといけないですか?」とか
「親知らずを抜くとすごく腫れて痛いと聞いたのですが、本当ですか?」とか親知らずの悩み結構多いです。
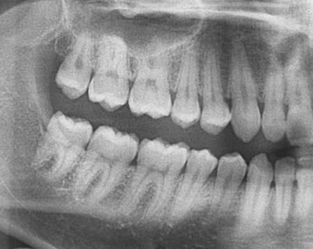
親知らずは生え方によってどうするべきか色々な場合があります。
(1) まっすぐ完全に生えて、咬み合っている場合
⇒まったく抜歯の必要なし

(2) まっずく生えているけど、半分埋まっている場合
⇒もう少し待てば、生えてきたり歯茎が縮まって見えてくるかもしれません。特に腫れた事が無ければ、このまま良く磨いて様子を見ましょう。

(3) 斜めに生えていて、半分埋まっている場合
⇒斜めに生えていると食片が詰まったままになり易く腫れる可能性があります。特に腫れた事が無ければ、このまま良く磨いて様子を見て腫れてから抜くか、先に抜いても良いと思います。

(4) 真横を向いていて、少し頭が見えている場合
⇒この時も(3)と同じで、様子を見ても良いし、抜いても良いと思います。

(5) 完全に埋まっている場合
⇒特に腫れた事が無ければ、そのまま様子を見て何か問題が有ればその時に抜くで良いと思います。
色々と先生によって意見が分かれる所ではありますが、私はあまり積極的には抜かない事が多いです。
基本的に、腫れた事のない無症状のものは抜きません。一度腫れるとまた腫れる可能性が有りますので、抜く事をお勧めします。しかし、あとは患者様ご自身の判断で良いと思います。
親知らずの抜歯で注意しないといけないのは、下顎の中に通っている大きな血管と神経を傷つけないようにしないといけません。神経を傷つけると麻痺が残ります。1~2ヶ月で消える事も有りますが、生涯消えない事もあります。

写真は神経の管に親知らずの根の先端が完全に入っている症例のCT画像です。
難しい時は歯科大学に送ったりもしますが、最近はピエゾサージェリーという器械を買いましたので、安全で後の腫れも少なく最小限の傷で抜けるようになりました。今では、大学に送る回数も減りほとんど当医院で抜くようになりました。もし、大学で抜く様に言われたら、一度当医院へいらしてみてください。抜けるかもしれませんよ。
あと、上顎の親知らずは下顎とは対照的に簡単に抜く事ができ、腫れも痛みもほとんどありません。上顎の時は御安心ください。