舌側矯正
今日、ワイヤーでの矯正患者様が、三年の治療を経て、はれて終了しました。お疲れ様でした。
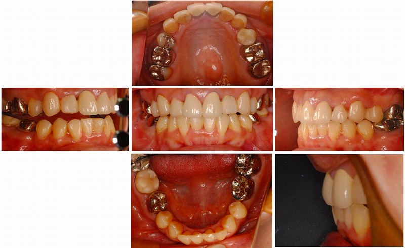
この方は、舌側矯正と言って、裏側に矯正装置を付ける方法を選択されたので、他人からは矯正の装置が見えず、治療していると気付かれません。
テクニックも複雑で、時間もかかりますが、患者様は大変に満足して頂いています。

ただ矯正料がやや高く、どうしても社会人の方、特に接客業の方たちに人気の方法です。
予算がオーバーの方には、上の歯を裏側から矯正し、下の歯はあまり目立たないので表から矯正をする方法もお薦めです。
表からする矯正を唇側矯正と言いますが、唇側と舌側を半々にする事が可能で、結構沢山の方がされています。
もし、ご興味のある方は、消費税が上がる3月までにした方が、お得ですのでお早めにご相談ください。