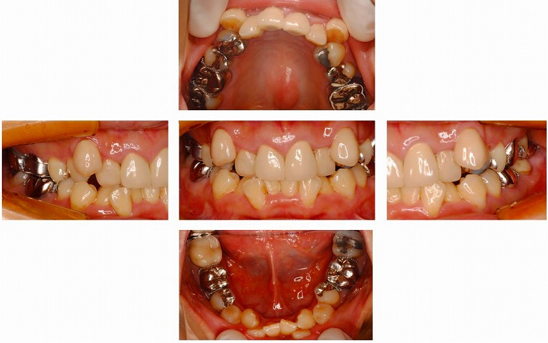
昨日ブログの患者様の治療前の状態を見てみたいというご希望もありました。
下の写真をご覧頂くと、かなり前歯が重なってる叢生(そうせい)という状態でした。
一般的には、八重歯とか言います。このようにかなり叢生が強い時には、やむなく
抜歯をして隙間を作り、その分を重なりの解消に使います。

最終的な治療結果は隙間のない綺麗な一列の歯並びになるというとこになります。それが昨日の写真(この下の写真)です。
見比べて頂くと、劇的に変化しているのがお分かり頂けると思います。
舌側矯正は、叢生ばかりではなく、出っ歯・受け口・開口など色々な症状にも対応可能です。