インプラント矯正
今日はインプラントを使って矯正をするという少し難しい症例です。インプラントも使えて、矯正もやっている先生でないとできないのがこのインプラント矯正です。
この方は年齢と共に前歯が重なってきて他医院では「加齢によるもので、どうしようもない」と言われて当医院を受診されました。

実は、人の歯は年齢と共に奥歯が前に倒れてきて、前歯は重なるものなのです。
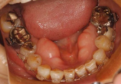
治療では、左下の奥歯に3本の矯正用インプラントを入れました。

拡大した写真です。

レントゲンで見ると分かりますが、結構小さいインプラントです。

このインプラントを支えにして、奥歯を元の後側の位置まで引っ張りました。

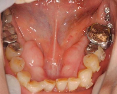
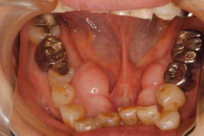
左下前歯の重なりが無くなって、きれいになったので、右も新しく装置を入れてほぼきれいに一列になってきました。
まだ、途中ですが患者様も満足されています。

インプラント矯正はしている先生が極めて少ないので、情報も乏しくまだ試行錯誤が続きますが、以前に比べると画期的に早くて確実です。