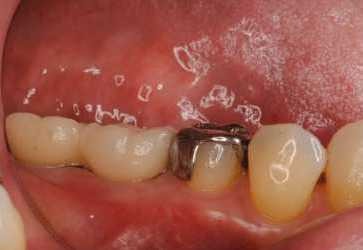
2012.04.28 院長ブログ インプラント3 今日のインプラントは、右下の奥歯に2本でした。本来なら入れ歯になる所ですが、入れなくて済んで良かったと感動されて帰りました。ゴールデンウィークに間に合ってよかったですね。 レントゲンで見るとインプラントから歯に移行する立ち上がりのラインもきれいに仕上がっています。 上の歯が少し伸びてきていて、歯の高さが十分に確保できず上からのネジ固定ですが、ネジ穴もきれいに隠れました。 陶器の色の仕上がりもキレイです。 次の記事 »インプラント2 « 前の記事インプラント矯正