バイコンインプラント支部会
いけだ歯科矯正歯科医院の院長 池田一彦です。
今週の土曜日は二年に一度のバイコンインプラントの支部の学会です。私自身が九州沖縄支部長をさせてもらっているので、お世話させていただいています。この会はアメリカのメーカーが主催するので名称は学会ではなくて、ネットワークといいます。簡単に言うと、バイコンインプラントのユーザーの研究発表会・研修会です。
主に九州沖縄から集まるので、福岡で開催です。一昨年まで、支部長をされていた南里先生の歯科医院で開催させていただきます。

★2020201iBicon九州沖縄支部会
バイコンインプラントは、少し変わったインプラントですので、アクティブなユーザーは少ないと思っていました。しかし、福岡だけで10名の先生方が集まることになりました。今回の講師の先生は久留米市で開業されている辻展弘先生をお招きしての支部会です。辻先生とは、3年前のバイコンの本社があるボストンでの研修会で、お知り合いになりました。当時からCAD/CAMには大変詳しくて、現在では日本臨床歯科CAD/CAM学会の九州支部長になられていますし、日本口腔インプラント学会の専門医やセレックの公認トレーナーもされています。当時も、その頃まだ日本では発売されていなかった3Dプリンター「FORM 2」をボストンから買って帰られました。

(当医院の院長ブログ2017年7月1日の「バイコンインプラント CAD/CAMミーティング2017-6」をごらんください。)
今では、その機種はシーアイ・メディカルという会社が代理店となって輸入していますが、今回もバイコンインプラントとCAD/CAMシステムをどのように融合させているのか、楽しみです。
今回は九州地区の少人数の開催という事もあって、自己紹介を兼ねて一人1症例10分~15分程度の症例発表もすることになりました。
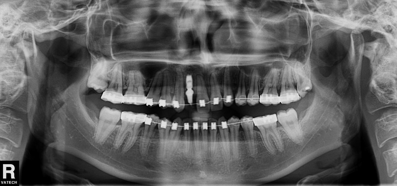
私は、前歯が2本先天的に欠損している症例について発表しようかと思っています。歯の本数が少ないので、全体的に歯が空いてきていたので矯正で位置をそろえてから、インプラントを入れました。レントゲンではこんな感じです。

本当は2本足りないので2本入れたかったのですが、2本入れるスペースを作ろうとすると少し前歯が出た感じになりそうでしたので敢えて1本にしました。左右で非対称になりがちですが、なんとか目立たない程度に収めたようになりました。こんな感じで、学会のように堅苦しくない雰囲気のものですので、もしもご興味がある先生方は、ぜひともご参加いただければと思います。懇親会はふぐ料理が格安で食べれるという企画もありますので、お気軽に参加してください。