無料メール相談4(抜歯しない矯正方法って無いのですか?)
今まで、多くの方々に無料でメール相談をしてきました。その中から良くある相談を紹介しています。
「矯正相談に行ったら、抜歯しないと矯正はできないと言われました。抜かない方法は無いですか?」
矯正治療開始時の年齢が小学生なら、成長期に顎を拡げれば抜かなくても大丈夫な事がほとんどですね。
また中学生以上の場合は、抜かなくてもしようと思えばできます。
すこし、社会の背景から話させてください。
矯正専門の歯科医師や歯科医院院長の多くは、大学を卒業したら大学院に進学して矯正を専門的に学びます。日本の大学のほとんどはアメリカ式の矯正を取り入れています。つまり、矯正専門医はアメリカ式矯正を中心に治療しています。日本人に最も多い八重歯と言われる重なった歯≪専門的には叢生(そうせい)という≫は、ドラキュラのように犬歯が出ているため、アメリカ人はとても嫌います。こんな時、アメリカ式矯正は『抜歯しないと矯正はできない』と言います。
しかし、ヨーロッパでは抜歯をしないで、小学生のころからなるべく顎の骨を拡げて歯を並べる矯正が中心です。この考え方は、大人になってもなるべく歯を抜かないで並べようとするヨーロッパ流の矯正方法として、矯正専門医以外の一般開業医に浸透しています。一般の開業医は、幼児~老人まで全ての年齢層に対応しますので、幼児の頃から、歯並びを治療するチャンスが多いのです。専門医で『抜歯しないと治らない』という症例でも、拡げれば並ぶ症例がたくさんあります。
実際には、どうしたら並べる事ができるのでしょう?
5人掛けの長椅子に6人を座らせると絶対に重なります。6人を重ならないように並べるには椅子を長くするしかありません。どうやって椅子を長くするかと言うと、アーチ全体を外側にひろげます。歯は後ろには下がりませんから、左右と前方に向かって歯を移動してアーチを拡げて長さを確保します。
そこで、たぶん疑問が生じます。
エラが張った顔つきにならないの? ⇒ これは、ほとんど変わりません。心配いりません。
出っ歯にはならないの? ⇒ これは、目立つ可能性がありますね。
なので、アーチを大きくした時に、口から歯があふれる感じで唇が閉じにくくなる可能性があります。≪専門的には上下前突と言う≫ 歯が常に見えているのでいつも笑っているように見えます。
結局、御質問の答えとして、『歯を抜かないで歯をとにかく一列に並べる事は可能です。並んだ歯のアーチが口に納まるかどうかは、重なっている程度による』という事になります。当医院では、できれば抜きたくないという患者様には、一度全部を並べてみますから、治療後の顔の感じを実際に見てから、その後に抜くかどうかを自分で決めて頂く方法を提案しています。どこで、妥協できるかは患者様自身にしか判断ができません。治療期間は半年ぐらい長くなりますが、この方法がベストだと確信しています。
妥協できる程度なら、無理に抜歯する必要はないし、妥協できない程度なら、抜歯するしかないと思います。

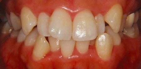
この方は抜きませんでした。重なりをとってまっすぐに並べて、唇が閉じにくい状態でしたが本人は満足していました。この程度が、抜く抜かないの境目ぐらいです。