バイコンインプラント研修5
日本から症例相談を5件持って行きました。手術方法の違いや被せ物の違いがあるかどうかなどを聞くためです。やはり、インプラントの種類と患者様の状態によって、欠点や利点がありますし、場合によっては不可能な場合も有ります。その中の一つのケースは実は自分自身の歯でした。
私の左下の一番奥の歯(親知らずの歯)が神経が有ったにもかかわらず長年の咬む力で縦に割れてしまいました。割れたら隙間からの刺激で神経が痛くなります。とりあえず、神経は取って痛みは止まりましたが、いずれは次にバイ菌が入ってきて歯肉がはれてきます。今のところまだ腫れていなくてどうするか迷っていました。親知らずだから抜いただけでいいと言う人もいましたが、実はそうすると上の親知らずが伸びてきて、上も抜かないといけなくなるのです。なので、どのインプラントを入れようかと迷っていました。専門用語で言うと『もともと角化歯肉が無くて移植できない場所なのでプラットホームスイッチングができて、なおかつ下顎管が近くて短かめのインプラントの方が有利』と言う事になるのですが、このバイコンがいいのではないかと何となく思っていたのですが、色々と話を聞いてみてやはりバイコンがベストであろうと確信がもてました。
今日の午後の初めに症例相談をさせてもらったのですが、バイコン本社にいらっしゃる平山先生いわく『だったら丁度いいから、 Dr. SHADI DAHER にインプラントを入れてもらったらいいよ。』と言われまして、『はあ』と言っている間に、午後のスケジュールに入れてもらって、あっという間に手術をされてしましいました。親知らずを抜いて、骨を削り、インプラントを入れて補填材を置いて縫合して30分程で、インプラントが終了しました。今のところ腫れ・痛み・出血はほとんど有りません。
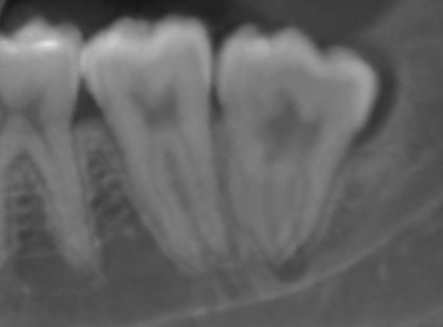
これがレントゲン写真です。治療前の写真と

治療後の写真です。

結局ここでは、普通に歯を抜く感覚でインプラントをしているという感じなんです。
インプラントが大げさな感覚ではないのです。インプラントの撤去も今日2症例見学させていただきましたが、これも結構日常の事のようでアメリカは インプラント先進国であるとつくづく感じました。