前回の続きのインプラント矯正
前回のブログで、ミニインプラントを使った矯正のお話をしましたが、治療が終了しましたので、お知らせします。
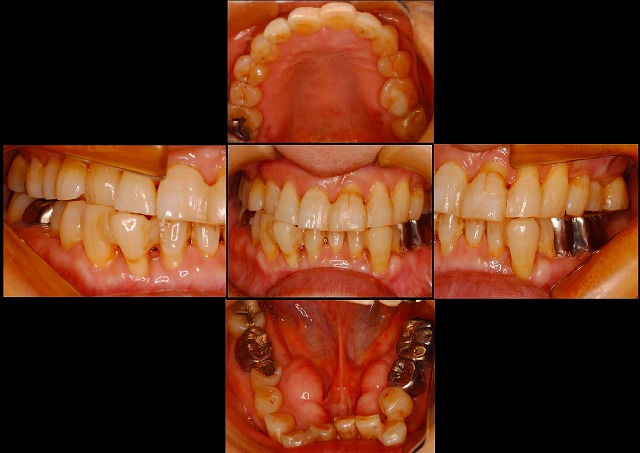
治療開始前はこんな感じで、前歯の下側を真っすぐにしてほしいという希望でした。

奥歯が前に倒れ過ぎていて、そこをかなり後ろにさげながら起こすという方法を取らないといけないので、
従来のワイヤーだけの矯正では、後ろに歯が無いので大変でしたので、ミニインプラントを固定源として起こしました。
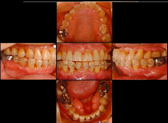
治療中はこんな感じです。

この写真では、インプラント自体が見えませんが、先日の写真の様な感じで入っています。
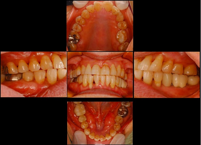
そして、治療終了後の写真です。

上顎は今回は矯正せず、下だけでの矯正ですが、下がきれいになると自然にある程度そろって綺麗になっています。
左下の奥の歯が無くてミニインプラントをした所には、普通サイズインプラントを後から入れましたので、歯が一本増えています。
全体で二年間の治療でした。お疲れ様でいした。