金属アレルギー 全快
金属アレルギーの患者様は、当医院では年間で数名程度と比較的少ないのですが、金属アレルギーと判るまで結構悩まれて、色々な病院を回られることもあるようです。
症状は、手のひらや足の裏とか、皮膚の薄い弱い部分とか、全身にでるものなど様々です。
最初はわかりませんから、皮膚科から歯科を紹介されて来られる方も多いです。
今回紹介する患者様も皮膚科経由でした。

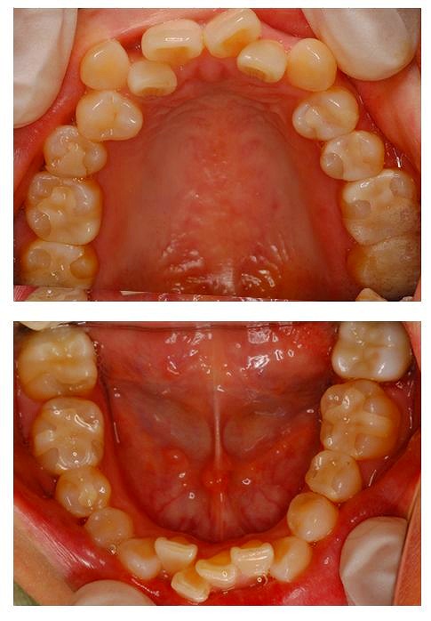
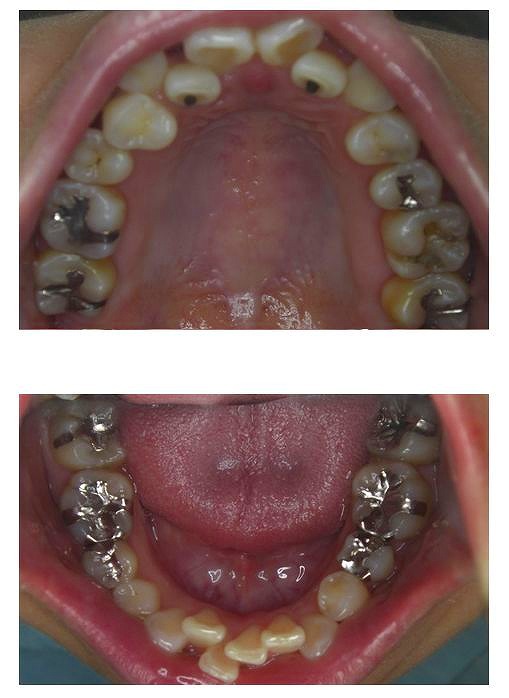
口の中を見ると、所々しか金属がはいってないようにみえます。
まずは、パッチテストと言って金属が溶けた溶液をしみこませた綿を皮膚に貼りつけ1~3日後に皮膚が赤くなっていれば、
陽性つまり、その金属にアレルギーが有ることになります。これを数十種類の金属で行います。
治療は、金属の詰め物や被せ物を、アレルギーの無い材質の物に交換することになります。
歯科の金属は、数種類の合金ですから、アレルギーの無い合金に変える事でも治療はできます。
しかし、今回は症状もひどく、精神的にも悩まれた期間が長いようで、すべてセラミックのものと交換しました。
最近脚光を浴びているジルコニアというものは、セラミックの一種で金属のような硬さがあり薄くしても割れず『白い金属』という別名があります。
もちろん、セラミックですからアレルギーはありません。というわけで、お口の中から金属が消えて、心も晴れて歯も白くなりました。
今日検診でいらっしゃった時には、アレルギーの症状もすっかり良くなりましたと大変に喜ばれていました。
